Clinica de Oido, Nariz y Garganta
 
 
 
Página Principal
Cirugias
    Septumplastia
    Rinoplastia
    Somnoplastia
    Cirugía Endoscópica
    Adenoidectomia Endoscópica
    Amigdalectomía
    Cirugía de Oído
    Cirugía de Laringe
Procedimientos / Diagnósticos
    Endoscopía
    Mareos
    Rinometría Acústica
    Rinomanometria
    Estudios de Audición
    Aparatos Para Mejorar Audición
Videos
Acerca Dr. Gallardo
Ver Sitio Versión Inglés
¿Dónde Estamos Ubicados?
Subscribirse
Contáctanos


La solucion moderna al problema de nariz tapada y ronquido

La Gente me dice que Ronco - Toma el Examen del Ronquido

Analisis Computarizado del Funcionamiento de la Nariz


Septumplastia

¿Qué es una septumplastia?
Una septumplastia es un procedimiento quirúrgico en el cual el tabique nasal es alineado.

¿Qué es el tabique nasal?
El tabique nasal es la parte de la nariz que divide la cavidad nasal derecha e izquierda (ver diagrama). El tabique esta usualmente en el centro de la nariz y descansa en un surco de hueso llamado la cresta maxilar. El tabique nasal está formado por varias partes, al frente es cartílago, más hacia atrás esta formado por hueso, sobre el tabique y cubriéndolo esta la mucosa nasal.


Sección Nasal Interna

 

Esta imagen muestra la estructura interna de la nariz. La parte frontal de la nariz esta hacia la izquierda. La región marcada es el cartílago. Hacia la derecha, el cartílago está formado de hueso delgado.

¿Cuando y porque se realiza la septumplastia?
Una septumplastia se hace cuando el tabique esta desviado e interfiere con la respiración o causa otros problemas como predisponer a infecciones de los senos paranasales, Apnea Obstructiva del Sueño, mejor funcionamiento de un Cpap (aparato usado para el tratamiento de la Apnea Obstructiva del Sueño.


Tabique Desviado
 

Esta imagen nos muestra la nariz vista desde abajo. En este caso el tabique esta desviado hacia la derecha del paciente. En algunos casos la parte frontal del tabique esta en la posición adecuada, pero la parte trasera está desviada. Los problemas obstructivos usualmente son de la parte de adelante del tabique nasal, zona llamada área valvular. En ocasiones se requieren otros procedimientos con la septumplastía para corregir problemas del área valvular.


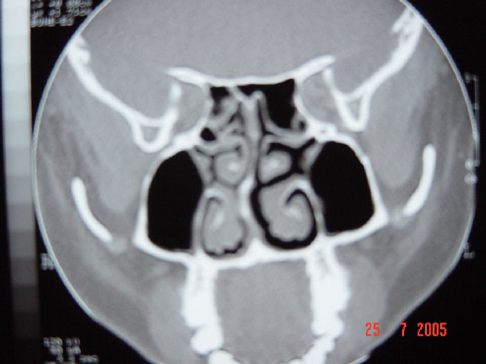
Imagenes de Desviación Septal
Desviación Septal
Tomografía de Desviación del Tabique Nasal

Desviación Septal
 

Tomografía de Desviación del Tabique Nasal
 

 

Desviación Septal y Rinosinusitis Crónica


Desviación Septal y Rinosinusitis Crónica

 

 


Sección de Videos

En está sección encontraras videos esta Cirugía que se realiza en la Clínica de Oído, Nariz y Garganta.

Para ver instrucciones de cómo guardar los videos en su computadora, Haga Click Aquí.

Notas importantes:

A continuación el listado de videos para esta Cirugía (Ver Instrucciones para Guardar los Videos):

Tamaño Archivo
18.10 MB
40.10 MB

Si tiene Preguntas o Comentarios no dude en contáctarnos haciendo click aquí.


Para mas información sobre este procedimiento envíenos un e-mail presionando aquí, háblenos por teléfono ((504)552-0185) o fax para darle una completa información sobre el mismo.

 


Página Principal | Cirugías | Septumplastia | Rinoplastia | Cirugía Endoscópica | Adenoidectomia Endoscópica | Amigdalectomía | Cirugía de Oído | Cirugía de Laringe
Procedimientos - Diagnósticos
| Endoscopía | Mareos | Rinometría Acústica | Rinomanometria | Estudios de Audición | Aparatos para Mejorar Audición | Acerca del Dr. Gallardo